COTW November 8th

A 34 year old woman with hx of HTN who is 7 weeks post-partum from a NSVD presents with chest pain earlier in the day now resolved. She is currently pain free when you see her.

She is initially hypertensive at 170/100, but improves to 140/80 without intervention. Her ECG is below:

Screen Shot 2019-11-08 at 10.23.55 AM.png

Her initial troponin is back before seeing her at 0.42 (0.04 upper limit of normal).

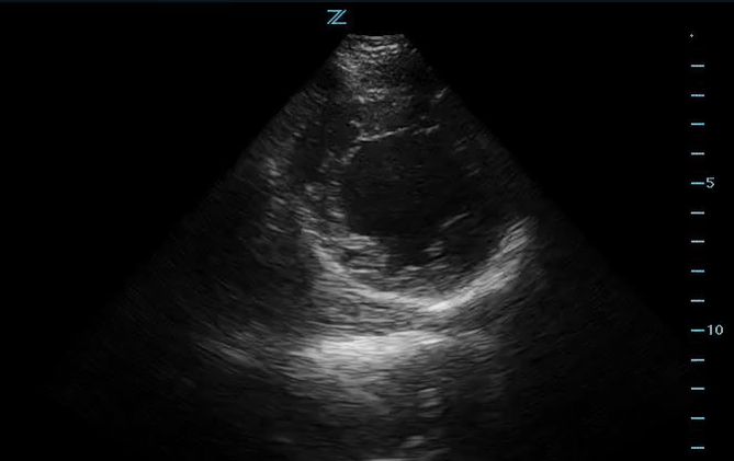
You do a bedside US shown below:

Parasternal long axis shows decreased EF as well as global hypokinesis.

Parasternal long axis shows decreased EF as well as global hypokinesis.

Parasternal short axis shows global hypokinesis, but more prominent in the septal and anterior wall.

Parasternal short axis shows global hypokinesis, but more prominent in the septal and anterior wall.

Apical 4 chamber showing a normally functioning RV. Again Hypokinesis along the septum.

Apical 4 chamber showing a normally functioning RV. Again Hypokinesis along the septum.

To summarize the findings above, this patient has decreased ejection fraction with hypokinesis in the LV. Seven weeks post-partum, the raises concern of peri-partum cardiomyopathy.

Her second troponin was 1.85.

However given her episode of chest pain earlier that day, an acute ischemic event must be considered, though she did not have many risk factors. Coronary artery dissection and pulmonary embolism must also be considered given her recent history.

She was admitted to the hospital and started on Ace inhibitor and Beta-blocker after a CT of the coronary arteries were done.

baliatlas_ch13_f006.png
Previous
Previous

COTW November 20th: A 70 y/o male with a painful erection...

Next
Next

COTW October 20th: A 78 y/o F with severe shortness of breath