COTW: A painful testicle

The patient is a 60 year old man with history of HTN, HLD and pre-DM who presented with fevers, chills, night sweats and worsening scrotal and testicular pain.

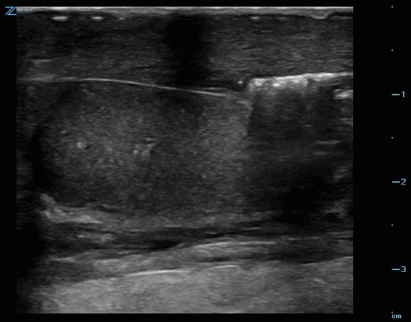
A bedside testicular ultrasound was performed:

1.3.6.1.4.1.6052.3067616072.11548969742.5308600261964_crop.gif

Note scrotal skin thickening, and dirty shadowing suggestive of subcutaneous air.

Diagnosis: Fournier’s gangrene.


OR report: extensive necrotizing fasciitis of entire right hemiscrotum, half of left hemiscrotum right pre-pubic area/base of penis and perineum with sparing of bilateral testicles.

Patient did well post-operatively. Cultures grew e. coli and bacteroides thetaiotaomicron and he was discharged on PO antibiotics four days later.

Embed Block
Enter a valid embed URL or code.
Previous
Previous

Next
Next

Ultrasound of the Week