COTW June 25: An Elderly Lady with Epigastric Pain

It was the GI cocktail to end all GI cocktails.

An elderly lady with a history of peptic ulcer disease came in with epigastric pain that she reported as typical and for which she was requesting antacids.

Exam: 116/80, HR 96, O2 100%. Elderly lady in no distress with mild RUQ/epigastric tenderness.

Treating physician gave GI cocktail and patient got relief.

But then she suddenly became short of breath and had recurrence of her pain. A bedside ECHO was performed.

Extra Chamber.gif

What on earth!? A 5th heart chamber?
No, a thoracic aortic aneurysm.

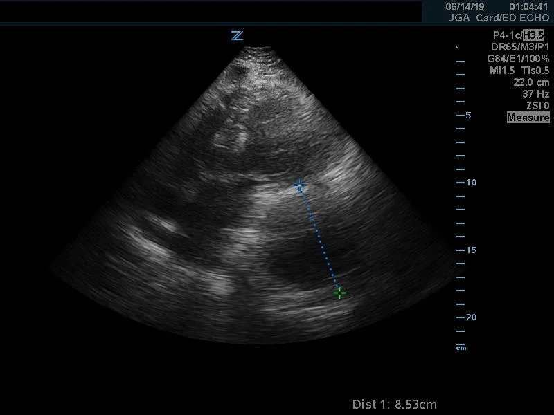
Measurement.jpg

The parasternal short view also had more important information.

Flap.gif

Evidence of an intimal flap. Patient got a CTA of the chest which revealed a “descending thoracic aorta measuring up to 7.6 x 7.2 cm at the right atrium with dissection flap at the posterior aspect of the proximal descending thoracic aorta, extending to the aortic arch and the left subclavian artery.”

Suffice to say she was not discharged with PMD follow up.

Echo one, echo all chest and epigastric pain!

Previous
Previous

COTW August 1st: A 3-year old male with intermittent abdominal pain for 3 days...

Next
Next

COTW: Right eye lacrimation and swelling