COTW 12/19/22 18 year old man presents with right hand pain

An 18 year old super duper tough and manly football player presents to the emergency department with right hand pain after punching his locker. He ignored the pain for the past 2 days but due to continuation of symptoms he presents to the ED. On exam the ulnar aspect of the dorsum of his hand is swollen and tender to palpation.

Displaced right fifth metacarpal shaft fracture. Also, positive arrow sign.

After spending 3 minutes figuring out how to measure angles on your radiology software, you note 55 degrees of dorsal displacement of the distal fracture fragment. You know the maximum degree of acceptable angulation is 40 degrees for the fifth metacarpal shaft so you plan to reduce it. You’ve had variable success with hematoma blocks but you are concerned that it wont work well since the injury happened so long ago. Thankfully, an ultrasound guided ulnar nerve block provides potent analgesia for this type of injury.

While other metacarpals will have mixed innervation from largely radial and median nerves, the bones of the fifth digit receives sole innervation from the ulnar nerve.

The course of the forearm nerves is seen below. The median is usually quite clear to see and will appear as a nice “honeycomb” appearing structure. The radial and ulnar nerves are slightly less clear but note that the radial nerve will lie RADIAL to the radial artery and the ulnar nerve will lie ULNAR to the ulnar artery.

Courtesy of highland ultrasound.

Cutaneous innervation of forearm. Note this does NOT translate to boney innervation and aside from the fifth digit, you will likely need a combination of blocks for other orthopaedic injuries of the hand.

To perform the block, start on the ulnar aspect of the wrist and scan proximally. Pay close attention to the ulnar aspect of the artery and you should see a honeycomb like structure become much more prominent as you scan more proximally. Where you exactly block it on the forearm isn’t very important-just do it an area where you feel like you have good visualization.

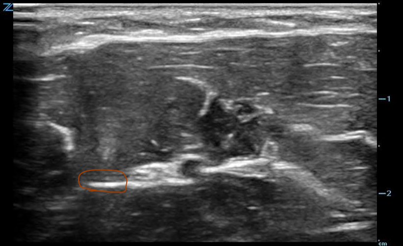
Above is the ulnar nerve next to the ulnar artery. Circled is a fascial plane next to the nerve. By injecting into the fascia you should see hydrodissection through the fascia that spreads to the nerve. This can provide a nice target for more novice users.

Once you have identified a good spot to perform the block, draw up you local anesthetic. You should need around 2-5 cc of anesthetic for the block. Use a 22-25G needle to perform this block.

Position your patient by having them hold their forearm in supination. You may need to have them roll a little bit on their side to better expose the area. Prep the area with chlorhexadine and use in plane guidance to target the nearby fascia. You should see the anesthetic go around the nerve. The anechoic anesthetic may not completely surround the nerve but if enough anesthetic is injected, it should be enough to give adequate effect.

Note how there is about 180 degrees of coverage of anesthetic around the nerve. If you dump 2-5 cc of anesthetic in that area, it should diffuse around and give adequate effect to perform the reduction.

Wait 15-30 minutes for adequate anesthesia and then perform the reduction!

This patient had excellent relief from the nerve block and the reduction was performed fairly painlessly. Keep this block in mind for fifth metacarpal fractures-especially because these patients are often embarrassed and can present a day or two after injury when hematoma blocks arent very effective.











Previous
Previous

COTW 12/27/22: 54F with R hand pain, swelling, erythema

Next
Next

COTW 11/27/22 67 Year old male presents with 1 day of painless vision loss.