COTW 3/7/22: 24 year old female with abdominal pain

A healthy non-pregnant 24 year old female presented to the emergency department with 2 days of lower abdominal pain. Pain was constant, non-radiating and associated with nausea and non-bilious non-bloody emesis. Vital signs: normal. Blood work revealed leukocytosis. Urine pregnancy test negative. Physical exam revealed a comfortable appearing patient with tenderness to palpation along right lower quadrant; non-acute abdomen. CT abdomen and pelvis radiology report: unremarkable, appendix not seen.

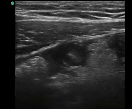
Point of care transvaginal ultrasound showed the following:

A tubular structure was visualized in the right lower quadrant. Cross sectional diameter measured 11.5 mm.

Structure was non-peristalsing, non-compressible and was hyperemic vascular flow as shown above


Surgical evaluation was pursued given concerns for acute appendicitis. Given lack of CT findings of appendicitis, a decision was made to withhold surgical intervention and patient was discharged home with return instructions. Patient returned the following day with worsening pain. CT was repeated which showed acute appendicitis. Patient had an eventful recovery.


Discussion

  • Acute abdomen in non-pregnant females is a challenging diagnosis

  • Gynecological and non-gynecological emergencies share similar clinical manifestations

    • Physical exams are notoriously unreliable

  • Point-of-care ultrasound allows rapid, safe and accurate evaluation. It adds diagnostic value when evaluating acute abdomen in young female patients

  • Although CT carries a higher diagnostic accuracy for acute appendicitis compared to ultrasound, it can be limited in case of a low-lying appendix within the pelvic cavity


Background

  • Most common surgical abdominal emergency worlwide

  • Diagnosis may be challenging due to atypical presentations

  • Mimics other pathologies

    • Enterocolitis, Crohn’s, diverticulitis, omental infarcts, mesenteric adenitis, pyelonephritis, ureterolithiasis, ovarian torsion, ectopic pregnancy, PID, hemorrhagic ovarian cyst, among others

Appendicitis & POCUS

  • Sensitivity 86%, Specificity 91%

  • Technique:

In pediatrics and thin patients, use the high-frequency (aka. linear) probe

In adults with larger habitus, use the curvilinear probe

  • How to find it!

    • Place the patient in supine position

    • Place probe at the point of maximum tenderness

  • If you can’t find it…

    • Move laterally to identify the ascending colon and lateral abdominal wall

    • Move the transducer on the lateral border of the cecum

      • most lateral structure in the RLQ

      • gas filled (think dirty shadows!)

      • identify the haustra on the ascending colon caudally

    • Move transducer medially, across the psoas muscle and iliac vessels (these are your landmarks!)

    • With the psoas and iliacs kept in view, slide the transducer up (towards the umbilicus) and down (towards the pelvis)

  • Troubleshooting

    • Place patient supine

    • Place patient in left posterior oblique position while applying pressure dorsally on patient’s RLQ from the back

  • Technique

    • Use graded compression until landmarks are visualized

      • It is found in-between or anterior to the psoas/iliac vessels

Normal appendix: blind-ended tubular structure

Sonographic findings in acute appendicitis

  • Primary:

    • Non-compressible blind-ended tubular structure

      • might be compressible if it’s perforated

    • Lacks peristalsis

    • Outer diameter measures > 6mm

    • Wall diameter > 3mm

  • Secondary:

    • Appendicolith/fecalith within the lumen

    • Free fluid surrounding the appendix

    • Ring of fire = increased vascular flow using color doppler

    • Bowel wall edema

Diameter 11.1 mm

Periappendiceal edema

Secondary findings for appendicitis: free fluid surrounding blind-ended tubular structure

Key Points

  • Evaluating lower abdominal pain in young female patients continues to be challenging for emergency physicians

  • Transvaginal ultrasound adds diagnositic value on low-lying appendices

  • Optimize technique using compression approach, placing patient in left posterior oblique position

  • Remember a perforated appendix could be compressible

Previous
Previous

COTW: 3/14/22: 60 year old male with hoarseness

Next
Next

COTW 2/28/22: 45 year old male with shortness of breath