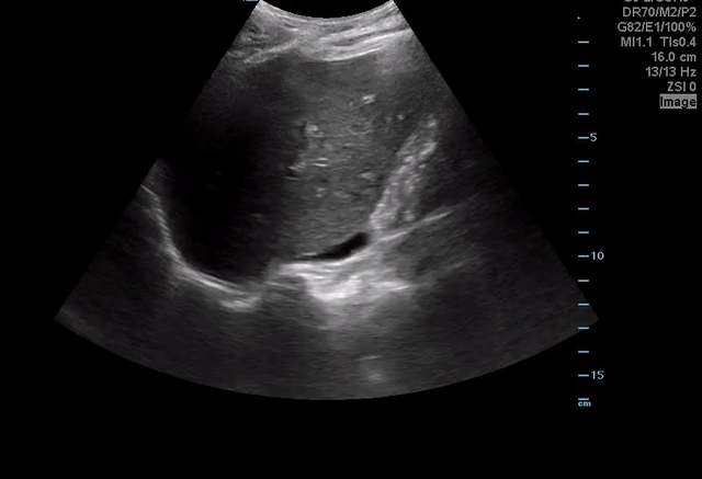
COTW 03/21: A 77-year-old female with urinary retention and flank pain

73-year-old female with a PMH of HTN, Hx. Renal CA, Hx. R-subclavian steal syndrome, Hx. Carotid angioplasty who presents with urinary retention status post mechanical fall 3 days ago. Patient has left sided rib pain, currently on Plavix and aspirin. Patient notice a bruise developing to her back/flank area and has not been able to urinate for the past 16 hours.

Vitals: BP:161/79 | Pulse: 81 | Temp: 95.8 °F| Resp: 18 | SpO2: 99 %

Previous
Previous

COTW 03/28: A 74-year-old male with a “bump” in his right pelvic area.

Next
Next

COTW: 3/14/22: 60 year old male with hoarseness